Myeloma adalah kanker sel plasma yang memengaruhi sumsum tulang. Kenali gejala, penyebab, dan pengobatan untuk deteksi dini dan penanganan efektif.

Myeloma (Multiple Myeloma) mungkin terdengar asing. Dari keseluruhan kasus kanker yang ditemukan, hanya sekitar satu persen di antaranya yang merupakan kasus myeloma. Tetapi, meski terdengar asing, bukan berarti dapat melepas kewaspadaan darinya.
Myeloma adalah jenis kanker yang berasal dari sel plasma sel darah yang ada di tulang sumsum. Sel plasma ini memproduksi antibodi (immunoglobulins) yang sangat penting untuk melawan infeksi. Pada kasus myeloma, sel plasma menjadi ganas, berkembang tak terkontrol, dan memproduksi monoclonal immunoglobulins (M-protein). Kondisi ini akan mengganggu fungsi tulang sumsum dan ginjal, yang menyebabkan kerusakan pada tulang.
Sampai dengan saat ini, penyebab terjadinya myeloma masih menjadi misteri. Belum diketahui secara pasti faktor yang menyebabkan sel plasma menjadi ganas. Usia lanjut diperkirakan menjadi faktor tertinggi timbulnya penyakit ini.
Dari kasus-kasus yang terjadi, myeloma umumnya terjadi pada orang berusia di atas 50 tahun--meski ada pula yang terjadi pada usia di bawah 40 tahun. Selain itu, gaya hidup tak sehat, seperti merokok, diet, dan mengonsumsi minuman beralkohol, diperkirakan dapat memicu timbulnya myeloma. Satu hal yang dapat dipastikan adalah bahwa myeloma tidak menular. Penyakit ini pun cenderung kecil kemungkinan diturunkan secara genetis. Hanya 3-5 persen kasus myeloma yang diturunkan.
Penyakit myeloma dapat disebabkan oleh beberapa hal berbagai berikut:
Riwayat keluarga dengan myeloma atau gangguan darah lain dapat meningkatkan risiko seseorang mengalami myeloma.
Risiko myeloma meningkat pada usia lanjut, umumnya terjadi pada individu berusia di atas 60 tahun.
Pria dan individu dengan ras Afrika-Amerika memiliki risiko lebih tinggi mengalami myeloma dibandingkan kelompok lain.
Terpapar zat kimia tertentu, seperti benzena atau pestisida, dapat meningkatkan risiko perkembangan myeloma.
Kelebihan berat badan atau obesitas turut menjadi faktor risiko, karena dapat mempengaruhi kesehatan sistem kekebalan tubuh.
Kondisi darah seperti MGUS (Monoclonal Gammopathy of Undetermined Significance) bisa berkembang menjadi myeloma di kemudian hari.
Bukan hanya faktor penyebab, myeloma pun sulit dideteksi, terutama pada tahap awal. Tidak ada gejala khusus pada tahap awal myeloma (baik itu Monoclonal Gammopathy of Undetermined Sigificance/MGUS maupun Smoldering Myeloma), dan reaksi yang ditimbulkan di setiap individu pun berbeda-beda. Pasien yang terdeteksi pada tahap ini biasanya terjadi secara tidak sengaja, seperti saat melakukan pengecekan darah.
Baru pada tahap selanjutnya, myeloma menunjukkan gejala tertentu. Gejala-gejala tersebut sebagai berikut:
Penderita myeloma sering mengalami nyeri pada tulang, terutama di punggung, panggul, dan tulang rusuk. Nyeri ini terjadi karena sel myeloma merusak jaringan tulang, menyebabkan kerapuhan dan berpotensi menimbulkan fraktur atau patah tulang. Jika tidak ditangani, sakit tulang ini bisa semakin parah seiring perkembangan penyakit.
Myeloma dapat menghambat produksi sel darah merah sehat, sehingga mengakibatkan anemia. Gejala anemia meliputi lemas, mudah lelah, dan pucat pada kulit. Kurangnya sel darah merah ini membuat tubuh sulit mendapatkan oksigen yang cukup, sehingga penderitanya mudah lelah meski hanya melakukan aktivitas ringan.
Karena tulang yang rusak oleh sel myeloma, kalsium yang ada dalam tulang akan masuk ke dalam darah, menyebabkan kondisi yang disebut hypercalcemia atau kadar kalsium tinggi. Gejalanya meliputi rasa haus berlebihan, mual, sembelit, dan bingung. Hypercalcemia bisa berbahaya jika tidak segera ditangani karena memengaruhi fungsi organ tubuh lainnya.
Protein abnormal yang dihasilkan sel myeloma bisa menumpuk di ginjal, mengganggu fungsinya dalam menyaring darah. Gangguan ini bisa berkembang menjadi gagal ginjal jika tidak diatasi, ditandai dengan gejala seperti bengkak di kaki dan penurunan output urine. Masalah ginjal ini juga disebabkan oleh hypercalcemia, yang memperberat kerja ginjal.
Myeloma mengganggu sistem kekebalan tubuh, membuat penderitanya lebih rentan terkena infeksi. Bahkan infeksi ringan, seperti flu, bisa berkembang menjadi parah dan sulit disembuhkan. Hal ini disebabkan karena produksi antibodi normal terganggu, sehingga tubuh sulit melawan infeksi secara efektif.
Meski masih diselimuti berbagai hal yang menjadi misteri, bukan berarti myeloma tidak dapat terdeteksi. Saat ini, terdapat berbagai pemeriksaan yang dapat dilakukan untuk memastikan ada tidaknya myeloma.
Tes darah merupakan langkah awal dalam mendeteksi myeloma. Melalui tes ini, dokter dapat memeriksa kadar protein abnormal, seperti protein M, yang dihasilkan oleh sel myeloma. Selain itu, tes darah juga memeriksa kadar kalsium dan sel darah merah, yang sering terpengaruh pada penderita myeloma. Kadar abnormal pada indikator ini bisa menjadi tanda adanya gangguan kesehatan yang lebih serius dan membutuhkan pemeriksaan lebih lanjut.
Dalam tes urin, dokter mencari keberadaan protein Bence-Jones, yaitu protein abnormal yang dihasilkan sel myeloma dan dapat terdeteksi dalam urin. Jika ditemukan, protein ini menunjukkan adanya gangguan pada produksi sel plasma di sumsum tulang. Pemeriksaan urin juga berguna untuk mengetahui apakah myeloma telah mempengaruhi fungsi ginjal, yang sering terjadi pada penderita penyakit ini.
Studi pencitraan atau imaging study, seperti X-ray, CT scan, atau MRI, membantu melihat kondisi tulang dan jaringan tubuh lainnya. Myeloma cenderung merusak tulang, sehingga imaging study bisa menunjukkan apakah ada kerusakan tulang, fraktur, atau area kerapuhan yang disebabkan oleh sel-sel myeloma. Pencitraan ini juga bisa membantu mendeteksi seberapa luas penyebaran penyakit dalam tubuh.
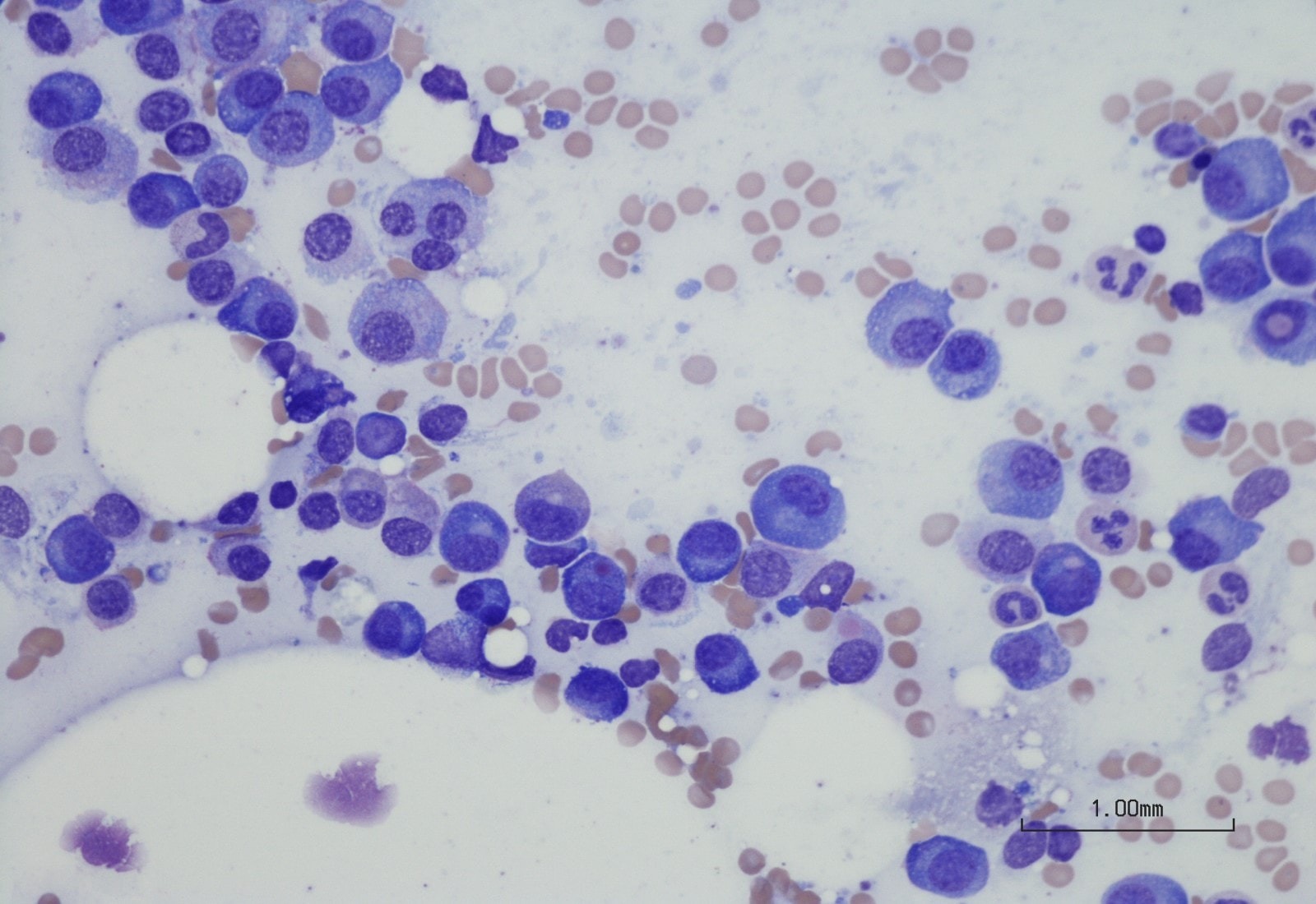
Pemeriksaan patologi dilakukan dengan mengambil sampel sumsum tulang (biopsi) untuk melihat keberadaan sel-sel myeloma di bawah mikroskop. Melalui biopsi, dokter bisa mengetahui jumlah dan karakteristik sel myeloma. Ini penting untuk memastikan diagnosis dan menentukan seberapa agresif penyakitnya, serta membantu merencanakan pengobatan yang sesuai.
Pemeriksaan umum mencakup evaluasi kesehatan keseluruhan pasien, termasuk riwayat medis dan gejala yang dirasakan. Dokter akan memeriksa tanda-tanda fisik, seperti anemia atau bengkak, yang sering terjadi pada penderita myeloma. Pemeriksaan umum ini penting untuk memahami dampak myeloma pada tubuh secara menyeluruh dan membantu dokter menentukan tindakan selanjutnya dalam rangkaian diagnosis.
Multiple myeloma dan leukemia adalah jenis kanker darah, tetapi berbeda. Multiple myeloma menyerang sel plasma di sumsum tulang, sedangkan leukemia memengaruhi produksi sel darah putih di darah dan sumsum tulang. Keduanya memiliki gejala dan pengobatan yang berbeda.
Multiple myeloma berbahaya karena merupakan kanker darah yang dapat merusak tulang, melemahkan sistem kekebalan tubuh, dan menyebabkan gangguan ginjal. Namun, dengan deteksi dini dan pengobatan yang tepat, seperti kemoterapi atau transplantasi, kondisi ini dapat dikelola untuk memperpanjang kualitas hidup.
Penyakit myeloma tidak dapat disembuhkan sepenuhnya, tetapi dapat dikontrol dengan pengobatan seperti kemoterapi, terapi target, dan transplantasi sumsum tulang.
Anda masih bisa bekerja dengan myeloma, tergantung kondisi fisik dan pengobatan. Sesuaikan beban kerja dengan kemampuan, istirahat yang cukup, dan komunikasikan kebutuhan Anda ke atasan. Jika merasa lelah, prioritaskan kesehatan dan konsultasikan dengan dokter untuk saran terbaik.
Referensi: